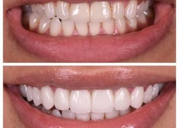
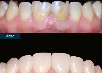
At Divers Health, we believe that a confident smile is a key to self-assurance and well-being. Our dental veneer services offer a transformative solution for those seeking to enhance the appearance of their teeth and achieve a radiant smile.
Dental veneers are ultra-thin, custom-made shells designed to cover the front surface of teeth, improving their appearance and creating a natural, uniform smile. Made from high-quality materials such as porcelain or composite resin, veneers are carefully crafted to match the color, shape, and size of your natural teeth.
Divers Health is your trusted partner for healthcare tourism in Turkey, offering access to world-class dental services at affordable prices. Our experienced dentists utilize state-of-the-art technology and the latest techniques to deliver superior results with personalized care and attention to detail.
Rediscover the confidence to smile with our dental veneer services at Divers Health. Contact us today to schedule a consultation and take the first step towards achieving the smile of your dreams.

A kidney transplant is the best treatment option for kidney failure. Acıbadem Healthcare Group is a leading destination for kidney transplant surgery in Turkey.
A kidney transplant is an operation for patients with kidney failure. Healthy kidneys have many functions, including filtering waste products and toxins, secreting erythropoietin to prompt the production of red blood cells, and releasing renin to help control blood pressure. When the kidneys are not working well, it affects vital body functions and causes problems to the heart, lungs, and bones. Advanced loss of kidney function is known as kidney failure or end-stage renal disease. People suffering from kidney failure need dialysis or a kidney transplant to live. Dialysis can be a lifesaving option, but the machine cannot replace all functions of a healthy organ. Studies show that successful kidney transplantation provides better quality of life and life expectancy compared to dialysis. In the long run, it is also more cost-effective than dialysis.
During a kidney transplant surgery, the recipient receives a healthy organ from a deceased or living kidney donor. The new kidney is placed in the abdomen and connected to the blood vessels and the bladder. Damaged kidneys are usually not removed unless they cause problems. A kidney transplant is a major surgery and success rates depend on many factors, including the experience of the transplant center and its team.
Before a living donor kidney transplant, both the donor and the recipient are subject to detailed lab tests, image diagnostics, and physical exams to assess their eligibility for the surgery. Once the evaluation is completed, the operation can be scheduled. At Acıbadem Kidney Transplant Center, donors can benefit from a minimally invasive surgery called laparoscopic donor nephrectomy, which is performed through a small incision for faster recovery. Advanced surgical techniques allow the removal of the kidney through a single port, the belly button, or the birth canal in women (NOTES procedure). The recipient is usually brought to the intensive care unit to be closely monitored immediately after the transplant. If the kidney comes from a living donor, it usually works right away or soon after the surgery.
After the kidney transplant surgery, patients have to spend a few days in the hospital to recover. They are closely monitored for any complications, such as bleeding or infection. Most patients can walk the day after the transplant surgery. At Acıbadem Kidney Transplant Center, the donor usually stays in the hospital for two days. The recipient is discharged after seven days. Transplanted patients can go back to their normal life within a few weeks. They will have to take medicines called immunosuppressants for the rest of their lives to prevent their body from rejecting the new organ. Regular follow-up examinations are needed in the first months after surgery to ensure that the kidney works well and the immunosuppressive drugs are properly adjusted.
A transplanted kidney has no expiration date. It may last a lifetime for some patients, while others may need several transplants throughout their life. The life of a transplanted organ depends on many factors, including the general health of donor and the recipient, whether the donor was living or deceased, and the cause of transplantation (a persisting condition could harm the new kidney just like the natural one). Even if the transplanted kidney fails, the patient can still start dialysis or opt for a second transplant called retransplantation.
In 2020, a woman living in France celebrated 50 years of active life after a kidney transplant. A man who received a transplant in 1971 is believed to be one of the longest surviving kidney transplant patients in the UK. Another man who received a transplant in June 1977 is thought to be the longest surviving patient in Asia. These are all transplants performed many years ago. Nowadays, surgical techniques and immunosuppressive drugs are much more sophisticated, and kidney recipients can expect even better outcomes.
Kidney transplant outcomes have improved dramatically in the last decades. Developments in surgical techniques, advanced understanding of the immune system and immunosuppressive regimens, and better anti-microbial treatment options contribute to a higher kidney transplant survival rate. However, kidney transplantation is still a highly specialized medical intervention. Success rates depend greatly on the medical center and the team responsible for the operation and long-term follow-up. At Acıbadem Kidney Transplant Centers, the graft survival rate is 99% after the first year and 94% in the fifth year. The patient survival rate is 99% in the first year and 95% in the fifth year.
Turkey is a global leader in renal transplantation, with more than 3,500 kidney transplants performed per year. Since cadaver organ donation is not sufficient globally, 80% of kidney transplants in Turkey are done with living donors. Transplant programs and success rates are well regulated and strictly monitored by the Ministry of Health. The transplant centers are regularly assessed, and their success rate should be more than 85%. Many patients from all over the world prefer Turkey for kidney transplantation due to the extensive experience, affordable cost, and high success rates of transplant centers.
Our kidney transplant surgeons perform more than 300 surgeries a year, with success rates above the world’s average. Acıbadem Kidney Transplant Center also offers: